Kisebb vállartroszkópos beavatkozások

Artroszkópos subacromiális decompresszió

A műtét lényege a rotátorköpeny és az lapocka acromion nyúlványa közötti tér krónikus gyulladásának és a rotátorköpeny régóta fennálló irritációjának sebészi úton történő megszüntetése. Végezhetjük önmagában is konzervatív kezelésre nem javuló becsípődéses szindróma megoldására, de legtöbbször valamilyen nagyobb beavatkozás (rotátor köpeny varrat, kalcium deposit kiürítés) részeként kerül sor rá. A műtét során a rotátorköpeny külső felszínét megtisztítjuk a rendszerint gyulladt, megvastagodott nyáktömlőtől, leválasztjuk a coracoacromiális szalag eredését és végül eltávolítjuk az acromion nyúlvány alsó felszínén gyakran megjelenő csontos felrakódáskat. A műtét 30-40 percet vesz igénybe.

A műtétet követően csak rövid és nem túl szigorú 7-10 napos rögzítési időt írunk elő és ezt követően indul a gyógytorna. Teljes felépülési idő kb. 2-3 hónapot is igénybe vehet, de a fájdalomcsillapító hatás már korábban jelentkezik.

Artroszkópos subacromiális decompresszió

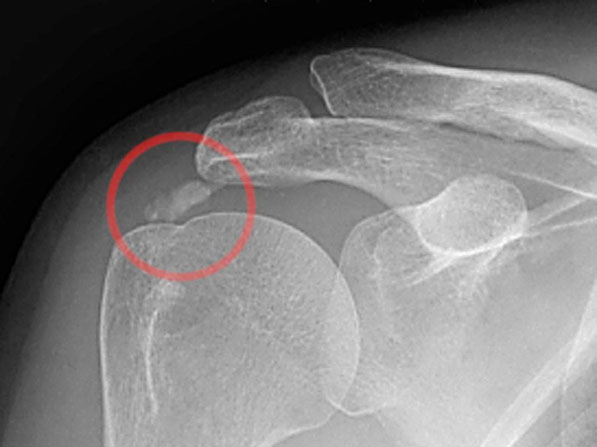
Artroszkópos kalcium depozit kiürítés

A váll meszes íngyulladásának (calcificáló tendinitis) létezik műtéti megoldása, amennyiben a konzervatív kezelés nem hoz tartós eredményt. A műtét lényege, hogy rotátorköpeny ínainak állományában felrakódott mész csomót sebészi úton kiürítjük. Az artroszkópos technikával végzett beavatkozás során rotátorköpeny külső rétegét szétválasztjuk és az alatta levő meszes ’fészeket’ alaposan kiürítjük. Előfordul, hogy az alapos mész eltávolítás érdekében az ínon nagyobb nyitást kell végezni. Ilyenkor az íngyógyulás érdekében a köpeny folytonosságát helyre kell állítani, ami a teljes felépülési időt megnyújthatja. Ezt a beavatkozást általában kiegészítjük fentiekben részletezett subacromiális decompresszióval. Rehabilitáció hozzávetőlegesen 3 hónapot is igénybe vehet.

Artroszkópos kalcium depozit kiürítés
Artroszkópos kalcium depozit kiürítés

Artroszkópos hegfelszabadítás befagyott váll szindróma esetén

Nagyfokú mozgásbeszűkülés vagy a műtét nélküli kezelés sikertelesége esetén kifejezetten ajánlott a befagyott váll szindróma során kialakult hegek sebészi úton történő oldása, melyet artroszkópos technikával végzünk. Ez az eljárás kombinált érzéstelenítést (altatás és regionális érzéstelenítés) igényel és körülbelül 30 percig tart. A betegek még aznap hazamehetnek. A műtét során két-három kis bemetszést ejtünk a vállon, bevezetünk egy kamerát az ízületbe, illetve a hegek feloldására alkalmas speciális eszközöket, melyekkel elvégezzük az összenövések feloldását. Az eljárás hosszú távú eredménye nagyon jó és a szövődmények kockázata minimális. Bár a mozgás azonnali javulása bekövetkezik, a teljes felépülés még mindig 4-6 hónapot vesz igénybe. A beavatkozás után azonnal el kell kezdeni a fizikoterápiát és arra kérem a pácienseimet, hogy a napi nyújtás mellett hetente háromszor vegyenek részt szakember által irányított gyógytornán három héten keresztül.